Abdominal giant epidermoid cyst with squamous epithelial heterogeneous proliferation carcinoma in part of the cyst wall: a case report
Introduction
Epidermal cysts are common benign skin tumours, but can be secondary to malignant tumours in an exceptionally rare number of cases (1,2). Among these are epidermal cysts with diameters larger than 5 centimetres, known as giant epidermal cysts, which are less common clinically (3,4). Epidermoid cysts can occur in any part of the body, and appear mainly on the head, neck, chest, and back of adults (5,6). They are mostly solitary; multiple cysts are rare. Most patients only present with nodules and without subjective symptoms, and a few present with spontaneous pain, tenderness, and rupture, so epidermoid cysts are easily misdiagnosed as other diseases, such as sebaceous cysts, lipomas, dermatofibrosis, mucous cysts, trichoblastoma, tendon sheath cysts, soft tissue infections, etc. (7). Since the clinical symptoms of epidermoid cysts are not obvious and need to be distinguished from other diseases, patients tend to neglect treatment. Only a few cases of epidermoid cysts combined with other skin tumors have been reported, including epidermoid cysts combined with squamous cell carcinoma, basal cell carcinoma, Paget’s disease, Bowen’s disease, mycosis fungoides, and Merkel cell carcinoma (8,9). The treatment of epidermoid cysts is based on surgical excision (10).
In this article, we describe an extremely rare case of a giant epidermoid cyst in an elderly man. In this case, there were two epidermoid cysts; the left one was located in the middle abdomen, and the right was located in the lower abdomen. The largest diameter of the right epidermoid cyst was about 20 cm, which was considered to be a giant epidermoid cyst and cystic to palpation. Cases of malignant transformation of giant epidermoid cysts are very rare in clinic. We share this case report in order to provide reference for other doctors in the treatment of patients with squamous cell carcinoma of giant epidermoid cysts in the abdominal wall, and enhance their thinking to malignant transformation of giant epidermoid cysts. This paper analyzes the clinical presentation, surgical approach, and postoperative pathological findings of the patient, which is discussed as follows. We present the following article in accordance with the CARE reporting checklist (available at https://tcr.amegroups.com/article/view/10.21037/tcr-22-1145/rc).
Case presentation
A 69-year-old male was admitted to the hospital for bilateral abdominal epidermoid cyst (incision) drainage more than a year ago, and had recurrence for over 7 months. He worked in a printing and dyeing factory and was exposed to dyes. Previously, the patient underwent bilateral abdominal swelling (incision) drainage at the First Hospital of Hebei Medical University on 14 December 2018 due to bilateral abdominal swelling. Intraoperatively, about 1,300 mL of viscous paste-like pus was drained from the right abdominal swelling, and about 1,500 mL of viscous paste-like pus was drained from the left abdominal swelling. The postoperative pathological diagnosis was epidermoid cyst. He had tuberculous peritonitis more than 40 years ago and conveyed that it was now cured with a negative purified protein derivative (PPD) test. In addition, He had also undergone appendectomy for acute appendicitis more than 40 years ago, and had hypertensive disease for 2 years. Upon examination after the admission, we found the following: temperature (T): 36.3 ℃, pulse (P): 124 beats/min, respiration (R): 21 beats/min, blood pressure (BP): 144/81 mmHg. On physical examination, the right side of the abdomen was bulging, with a visible goiter (approximately 20 cm × 18 cm × 8 cm). The goitre was hard and painful when pressing gently, with average mobility and no surrounding skin redness or fever. The patient reported that the right abdominal cyst gradually grew up in a slow trend in the past year with no obvious conscious symptoms. The countercheck of the whole abdomen enhanced computed tomography (CT) at our hospital showed two cystic solid masses in the lower abdomen and muscle invasion of the right abdominal wall, not excluding malignancy. The patient’s last postoperative pathological tissue was examined in our pathology department, and illustrated that the broken fibrocystic wall-like tissue was covered with squamous epithelium, consistent with an epidermoid cyst. Following admission, abdominal ultrasound showed large, cystic, solid lumps in the right lower abdomen and left middle abdomen, which were predominantly cystic with a smooth and intact wall in most of the cyst. No tubular structures were observed along the cyst wall with continuous and complete exploration. The solid part was moderately echogenic at the lower pole of the lump, and most of it bulged to the capsule in an inverted “cauliflower” shape from anterior to posterior. The root of the “cauliflower” was attached to the abdominal wall, and the continuity of local peritoneal and muscular structures was interrupted. By performing ultrasound-guided puncture biopsy, the cytopathological results of the abdominal goitre puncture fluid displayed heterogeneous proliferating squamous epithelial cells on the right side and no cancer cells on the left side. The puncture tissue pathology result on the right side showed a heterogeneous cell mass. Thus, considering hypofractionated carcinoma, immunohistochemical examinations were conducted. The results were as follows: AE1/AE3 (+) (it is an immunohistochemical result), P63 (+) (it is an immunohistochemical result), CK5/6 (+) (it is an immunohistochemical result), Ki67 positive cell count (it is an immunohistochemical result), Vimentin (−), CEA (−) (it is an immunohistochemical result), CK7 (−) (it is an immunohistochemical result), and squamous cell carcinoma. The puncture pathology tissue result on the left side showed a proliferating epidermoid cyst. Whole gastrointestinal tract imaging showed an abdominal occupying lesion, and the right middle and lower abdominal intestinal tubes were displaced by compression. There was no obvious internal fistula formation. From positron emission tomography (PET)/CT was also performed, which showed the following: (I) whole-body PET/CT imaging showed cystic, solid density shadow in the right abdomen, with some of the cyst wall being dotted calcification, and some of them (some of the cyst wall) closely related to the adjacent abdominal wall. PET exhibited heterogeneous abnormal glucose hypermetabolism in the lower right-solid part of the goitre. The possibility of a malignant lesion was considered in the right abdomen, without excluding other possibilities. (II) Left lower abdomen was cystic and hypodense, with some of the cyst wall being dotted calcification. PET did not indicate noticeable abnormal glucose hypermetabolism. A benign lesion was considered to be more likely, without excepting other possibilities.
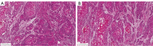
On 2020-3-23, an exploratory laparotomy was performed under general anaesthesia. A goitre was revealed in the abdominal wall during the laparotomy, so a tension-free repair of the right abdominal wall goitre was performed (see Figure 1). After the operation, the patient's vital signs were stable. The patient began to eat through mouth on the second day after operation, and no abdominal pain, abdominal distension, fever and other complications occurred. Patients could get out of bed and walk normally on the third day after operation. We give patients abdominal incision dressing once a day, and no obvious inflammatory reaction was found. The patient was discharged on the fifth postoperative day after anti-inflammatory, hemostatic, rehydration, and other symptomatic supportive treatments. The postoperative pathological examination suggested the following: (I) the skin tissue was 13 cm × 10 cm × 9 cm; (II) the skin in the skin tissue was 6 cm × 4 cm; (III) the size of the goitre was 12 cm × 9 cm × 8 cm, and it was a cystic solid; (IV) the cystic area had a little keratosis, and the cut surface of the solid area was greyish-white and brittle; (V) calcified, highly-differentiated squamous cell carcinoma was observed in part of the cystic wall; and (VI) the medial fibrous tissue of the striated muscle was covered with well-differentiated squamous epithelium. Part of the cyst wall was broken with histiocytosis and foreign body giant cell re-action, with visible scattered keratosis. Some areas of squamous epithelium were heterogeneously proliferating carcinoma, showing well-differentiated invasive squamous cell carcinoma (see Figure 2). The recent postoperative follow-up of patients showed that no recurrence of abdominal cyst occurred. All procedures performed in this study were in accordance with the ethical standards of the institutional and/or national research committee(s) and with the Declaration of Helsinki (as revised in 2013). Written informed consent was obtained from the patient for publication of this case report and accompanying images. A copy of the written consent is available for review by the editorial office of this journal.
Discussion
The diagnosis and treatment of epidermoid cysts are typically straightforward. However, a giant epidermoid cyst in the abdomen with heterogeneous hyperplasia of squamous epithelium in part of the cyst wall can be easily cause misdiagnosed, since epidermoid cysts are rarely malignant (6,11). According to other some reports, the current pathogenesis of epidermoid cysts is unclear, which is attributable to the following reasons: (I) Epidermoid cysts originate from the funnels of hair follicles. Moreover, they are caused by progressive cystic expansion and destruction of the funnels of hair follicles. For example, for some patients who undergo surgery other diseases, postoperative epidermoid cysts are formed in the surgical area due to the implantation of epidermal fragments into the dermis by penetrating injuries (12,13). (II) Some studies suggest that HPV(human papillomavirus) infection may be associated with the paroxysm of epidermal cysts, especially HPV types 57 and 60 (14,15). (III) Other studies suggest that ectodermal cells migrate abnormally during embryonic development, which allows them to enter the ectodermal tissue in other tissues and continue to develop without degeneration leading to cyst formation (16,17). In this case, the patient had undergone appendectomy more than 40 years ago for acute appendicitis, and it is possible that the abdominal epidermoid cyst formed due to surgical factors.
It is difficult to distinguish epidermoid cysts from other abdominal wall goitres, such as lipomas, mucinous cysts, pilomatrixoma, ganglions, and soft tissue infections, based only on morphologic appearance. This is also the main reason why we didn’t consider the giant epidermoid cyst on the abdominal wall as a malignant tumor at the beginning. Thus, histopathological diagnosis is required for confirmation (18,19). Epidermoid cysts have an epithelial cyst wall structure, which includes three types: stratified squamous epithelium, non-stratified squamous epithelium, and epithelial agenesis. Malignant transformation rarely occurs in epidermoid cysts, but some reports suggest that epidermoid cysts can develop into squamous carcinoma (20,21). Moreover, Odemiş et al. (22) reported that epidermoid cysts can be malignantly transformed into squamous cell hepatocellular carcinoma. All in all, patients with progressive epidermoid cysts should complete pathological examination as soon as possible to prevent missed diagnosis.
In this case, the patient underwent epidermoid cyst (incision) drainage more than a year ago. At that stage, the histopathogical result was epidermoid cyst without malignant transformation, but during this hospitalization, immunohistochemistry was performed by puncturing the right side of the focus, and the result was squamous cell carcinoma. Additionally, the postoperative pathological result was that the cyst wall pathology was fibrous tissue covered with well-differentiated squamous epithelium, which went through dysplasia canceration in some areas, with highly-differentiated invasive squamous cell carcinoma.
At present, malignant transformations of giant epidermoid cysts of the abdominal wall are rare. A number of experts believe that some patients with epidermoid cysts have sustained irritation to the tissue at the cyst wall incision due to the epidermoid cyst contents postoperatively, resulting in chronic inflammatory responses that dephosphorylate the thin layer of the squamous epithelium, eventually leading to a malignant transformation of the epidermoid cyst and a formation of squamous carcinoma (12,23). In this case, the patient had previously undergone (incision) drainage of the epidermoid cyst in the abdominal wall, after which the cystic contents irritated the cystic wall at the incision for a prolonged period, which could be have caused the malignant transformation of the epidermoid cystic wall.
In conclusion, giant epidermoid cysts of the abdominal wall are rare in clinical practice, and their probability of canceration is even lower. Pathological tissue aspiration biopsy is the gold standard for diagnosing this disease. Once the diagnosis is specified, surgical resection should be the preferred treatment option and should be performed as radically as possible to reduce the possibility of recurrence or even canceration. Since there was no previous literature report on the limitation of the minimum threshold for resection of the cystic wall of giant epidermoid cyst in the abdominal wall with malignant transformation. We chose the normal tissue about 1.5–2.0 cm from the cyst wall of the abdominal wall as the extent of resection threshold for the giant epidermoid cysts of the abdominal wall. According to the patient’s current treatment, the minimum resection threshold we choose is sufficient.
Acknowledgments
Funding: None.
Footnote
Reporting Checklist: The authors have completed the CARE reporting checklist. Available at https://tcr.amegroups.com/article/view/10.21037/tcr-22-1145/rc
Conflicts of Interest: All authors have completed the ICMJE uniform disclosure form (available at https://tcr.amegroups.com/article/view/10.21037/tcr-22-1145/coif). The authors have no conflicts of interest to declare.
Ethical Statement: The authors are accountable for all aspects of the work in ensuring that questions related to the accuracy or integrity of any part of the work are appropriately investigated and resolved. All procedures performed in this study were in accordance with the ethical standards of the institutional and/or national research committee(s) and with the Declaration of Helsinki (as revised in 2013). Written informed consent was obtained from the patient for publication of this case report and accompanying images. A copy of the written consent is available for review by the editorial office of this journal.
Open Access Statement: This is an Open Access article distributed in accordance with the Creative Commons Attribution-NonCommercial-NoDerivs 4.0 International License (CC BY-NC-ND 4.0), which permits the non-commercial replication and distribution of the article with the strict proviso that no changes or edits are made and the original work is properly cited (including links to both the formal publication through the relevant DOI and the license). See: https://creativecommons.org/licenses/by-nc-nd/4.0/.
References
- Park BS, Shin DH, Kim SH, et al. Perineal squamous cell carcinoma arising from an epidermal cyst: a case report. World J Surg Oncol 2018;16:155. [Crossref] [PubMed]
- Frank E, Macias D, Hondorp B, et al. Incidental Squamous Cell Carcinoma in an Epidermal Inclusion Cyst: A Case Report and Review of the Literature. Case Rep Dermatol 2018;10:61-8. [Crossref] [PubMed]
- Mahmud MU, Sheuly SB, Bhuiyan NH, et al. Giant epidermoid cyst in the breast: A common benign lesion at a rare site-A case report. Int J Surg Case Rep 2017;36:130-2. [Crossref] [PubMed]
- Pressney I, Khoo M, Hargunani R, et al. Description of the MRI and ultrasound imaging features of giant epidermal cysts. Br J Radiol 2020;93:20200413. [Crossref] [PubMed]
- Akyüz O, Tatar Z, Çoban S, et al. Epidermoid cyst of the urinary bladder: a case report. Aging Male 2020;23:1131-3. [Crossref] [PubMed]
- Faltaous AA, Leigh EC, Ray P, et al. A Rare Transformation of Epidermoid Cyst into Squamous Cell Carcinoma: A Case Report with Literature Review. Am J Case Rep 2019;20:1141-3. [Crossref] [PubMed]
- Yang Y, Zhang LC, Yang J, et al. Clinical and pathological analysis of epidermal cyst in 1007 cases. China Journal of Leprosy and Skin Diseases 2019;35:197-200.
- Harada T, Fukumoto T, Shimizu H, et al. Basal cell carcinoma developed from an epidermal cyst: A case report and review of the literature. Dermatol Reports 2021;13:9273. [Crossref] [PubMed]
- Wollina U, Langner D, Tchernev G, et al. Epidermoid Cysts - A Wide Spectrum of Clinical Presentation and Successful Treatment by Surgery: A Retrospective 10-Year Analysis and Literature Review. Open Access Maced J Med Sci 2018;6:28-30. [Crossref] [PubMed]
- Kim KT, Sun H, Chung EH. Comparison of complete surgical excision and minimally invasive excision using CO2 laser for removal of epidermal cysts on the face. Arch Craniofac Surg 2019;20:84-8. [Crossref] [PubMed]
- Kurihara Y, Kawamura K, Furue M. A Case of Epidermal Cyst with Underlying Lipoma on the Back: A Rare Presentation. Case Rep Dermatol 2021;13:171-5. [Crossref] [PubMed]
- Gupta R, Verma P, Bansal N, et al. A Case of Ruptured Perineal Epidermal Cyst. Cureus 2020;12:e11099. [Crossref] [PubMed]
- Posthuma JJ, de Ruiter KJ, de Jong VM, et al. Traumatic Epidermal Inclusion Cyst After Minimally Invasive Surgery of a Displaced Intra-Articular Calcaneal Fracture: A Case Report. J Foot Ankle Surg 2018;57:1253-5. [Crossref] [PubMed]
- Doorbar J, Egawa N, Griffin H, et al. Human papillomavirus molecular biology and disease association. Rev Med Virol 2015;25:2-23. [Crossref] [PubMed]
- Sichero L, Rollison DE, Amorrortu RP, et al. Beta Human Papillomavirus and Associated Diseases. Acta Cytol 2019;63:100-8. [PubMed]
- Spinato G, Gaudioso P, Falcioni M, et al. Giant Epidermoid Cyst of Posterior Fossa—Our Experience and Literature Review. Dose Response 2021;19:15593258211002061. [Crossref] [PubMed]
- D'Andrea M, Musio A, Fuschillo D, et al. Epidermoid cyst of the anterior clinoid process: report of a unique finding and literature review of the middle cranial fossa locations. Clin Neurol Neurosurg 2021;200:106381. [Crossref] [PubMed]
- Wang TS, Chiu HY, Hong JB, et al. Correlation of IL36RN mutation with different clinical features of pustular psoriasis in Chinese patients. Arch Dermatol Res 2016;308:55-63. [Crossref] [PubMed]
- Wang Y, Cheng R, Lu Z, et al. Clinical profiles of pediatric patients with GPP alone and with different IL36RN genotypes. J Dermatol Sci 2017;85:235-40. [Crossref] [PubMed]
- Haidari M, Saadaat R, Malakzai HA, et al. Squamous cell carcinoma arising in an epidermal cyst of urinary bladder associated with vesicolithiasis: A case report and review of the literature. Int J Surg Case Rep 2021; Epub ahead of print. [Crossref] [PubMed]
- Veenstra JJ, Choudhry S, Krajenta RJ, et al. Squamous cell carcinoma originating from cutaneous cysts: The Henry Ford Experience and review of the literature. J Dermatolog Treat 2016;27:95-8. [Crossref] [PubMed]
- Odemiş B, Köksal AS, Yüksel O, et al. Squamous cell cancer of the liver arising from an epidermoid cyst: case report and review of the literature. Dig Dis Sci 2006;51:1278-84. [Crossref] [PubMed]
- Hamlat A, Hua ZF, Saikali S, et al. Malignant transformation of intra-cranial epithelial cysts: systematic article review. J Neurooncol 2005;74:187-94. [Crossref] [PubMed]
(English Language Editor: A. Kassem)

