Ubiquitin-conjugating enzyme E2S serves as a prognostic marker for skin cutaneous melanoma
Highlight box
Key findings
• Ubiquitin-conjugating enzyme E2S (UBE2S) may serve as a prognostic marker and therapeutic target for skin cutaneous melanoma (SKCM) by influencing the tumor immune microenvironment.
What is known and what is new?
• UBE2S expression is up-regulated in SKCM and is linked to poor prognosis.
• UBE2S is related to the SKCM tumor microenvironment (TME) and strongly correlated with tumor-infiltrating immune cells.
What is the implication, and what should change now?
• Understanding the mechanisms through which UBE2S influences the tumor immune microenvironment is crucial for advancing UBE2S-targeted therapeutic strategies.
Introduction
Skin cutaneous melanoma (SKCM), a common malignant tumor originating from melanocytes, is characterized by rapidly proliferating cells that evade immune surveillance (1). This evasion leads to frequent metastasis and recurrence, posing significant challenges for treatment. The tumor’s ability to escape immune detection is primarily due to its interactions with stromal and immune cells (2). These interactions increase the likelihood of metastasis and recurrence. Additionally, a high mutation burden and neoantigen load make it more difficult for the immune system to recognize SKCM (3). This further enhances the tumor’s ability to avoid immune detection. The variety of immune cells in the tumor microenvironment (TME) indicates a diverse pattern of immune cell infiltration, which can significantly influence tumor progression and treatment outcomes.
The TME is a complex system of various cell types and extracellular components that are essential for tumor initiation, progression, and metastasis (4). It comprises fibroblasts, endothelial cells, immune cells, and extracellular elements such as cytokines, growth factors, and hormones (5,6). These components interact to create an environment conducive to SKCM growth and spread (7). Signaling molecules like cytokines and growth factors promote tumor cell proliferation and dissemination, while immune cells modulate immune responses, influencing SKCM growth and spread. Together, these interactions drive tumor progression. Tumor-associated genes play a critical role in SKCM development by affecting tumor cell proliferation, growth, and metastatic potential (8). Research on these genes and their connection to the SKCM TME enhances our understanding of SKCM mechanisms and offers new insights and strategies for treatment.
Ubiquitination is a vital post-translational modification that involves the attachment of ubiquitin proteins to target proteins, thereby regulating their stability, activity, and cellular location (9). This process is fundamental to various cellular functions, such as cell cycle control, signal transduction, DNA repair, and transcription regulation. Recent research has revealed that abnormalities in ubiquitination are closely linked to the initiation and progression of several cancers, including SKCM (10). Ubiquitination influences critical signaling pathways in SKCM, including MAPK, PI3K/Akt, and Wnt/β-catenin, which affects tumor cell proliferation and metastasis (11,12). Additionally, it regulates the activity of key transcription factors associated with SKCM, such as MITF and p53, further impacting tumor progression (13). By modulating the expression and activity of tumor-promoting and tumor-suppressing factors, ubiquitination plays a crucial role in the development of SKCM (14). Thus, it is considered a promising target for therapeutic intervention in SKCM.
Ubiquitin-conjugating enzyme E2S (UBE2S) is a crucial component of the ubiquitin-conjugating enzyme family, essential for regulating protein ubiquitination within cells (15). Recent research has highlighted UBE2S’s significant role in various cancers, marking it as a key factor in cancer prognosis (16). Elevated levels of UBE2S have been observed in tumors such as breast, colorectal, and lung cancers, where its expression is closely linked to tumor stage, metastasis, and overall prognosis (17). Inhibiting UBE2S can substantially reduce tumor cell proliferation and invasion, and also induce apoptosis (18). Additionally, UBE2S affects ubiquitination levels, which influences tumor cells’ sensitivity to chemotherapy and impacts treatment outcomes (19). While the role and mechanisms of UBE2S in SKCM are important for understanding the disease, they are not yet fully understood, which is critical for improving prognosis and treatment strategies.
This study comprehensively investigates the role of UBE2S in SKCM pathogenesis through integrated analysis of multi-platform databases. We delineate its cell type-specific expression patterns across TME compartments and rigorously evaluate the prognostic accuracy of UBE2S using survival analysis. These findings aim to advance precision oncology by identifying novel therapeutic targets for SKCM. We present this article in accordance with the REMARK reporting checklist (available at https://tcr.amegroups.com/article/view/10.21037/tcr-2025-620/rc).
Methods
Gene Expression Profiling Interactive Analysis 2 (GEPIA2) database
The GEPIA2 database (20) (http://gepia2.cancer-pku.cn/#index, accessed on 18 Dec 2024) is an enhanced version of GEPIA. It integrates data from one normal skin sample in the The Cancer Genome Atlas (TCGA) database, 461 tissue samples from SKCM patients, and 557 normal skin samples from the Genotype-Tissue Expression (GTEx) database. We analyzed the differences in UBE2S expression between SKCM and normal skin tissues following standard operating procedures. The study aimed to investigate the association between UBE2S expression levels and patient outcomes, specifically overall survival (OS) and disease-free survival (DFS). The study was conducted in accordance with the Declaration of Helsinki and its subsequent amendments.
Ualcan database
The Ualcan database (21) (https://ualcan.path.uab.edu/analysis.html, accessed on 18 Dec 2024) consolidates cancer genomics, transcriptomics, and proteomics data to enhance understanding of genes, proteins, signaling pathways, and patient survival outcomes in cancer. It provides tools for users to explore, analyze, and visualize these data. This study utilized Ualcan to investigate the relationship between UBE2S expression levels and patient OS.
TISIDB database
The TISIDB database (22) (http://cis.hku.hk/TISIDB/index.php, accessed on 18 Dec 2024) serves as a comprehensive portal for studying interactions between tumors and the immune system. It integrates high-throughput data on tumor cell responses to T cell-mediated killing, along with information on immunotherapy, genomics, transcriptomics, and clinical outcomes. The database aims to clarify tumor-immune cell interactions, which can aid in predicting responses to immunotherapy and identifying new therapeutic targets. In this study, TISIDB was used to analyze the correlation between UBE2S expression, the SKCM TME, and patient OS.
CellTracer database
The CellTracer database (23) (http://bio-bigdata.hrbmu.edu.cn/CellTracer/, accessed on 18 Dec 2024) explores key molecular events in cellular development and the interactions between genes, biological contexts, cellular characteristics, and clinical treatments. It facilitates the retrieval and analysis of gene expression, cell cluster distribution, developmental trajectories, changes in cellular states, and their relationships under various conditions. This foundational tool aids in biomarker discovery and therapeutic research in the TME. In this study, CellTracer was used to examine UBE2S expression in SKCM single-cell subpopulations, pseudotime differentiation trajectories, cellular states, and the correlation between UBE2S expression and single-cell functions.
DiSignAtlas database
The DiSignAtlas database (24) (http://www.inbirg.com/disignatlas/home, accessed on 18 Dec 2024) compiles raw data from unique transcriptome files of diseased and healthy humans and mice, archived in Gene Expression Omnibus (GEO), ArrayExpress, and TCGA. It identifies and records differentially expressed genes characteristic of human and mouse diseases. This study utilized DiSignAtlas to investigate UBE2S expression in SKCM cancer and adjacent normal tissues.
Human Protein Atlas (HPA) database
The HPA database (25) (https://www.proteinatlas.org/, accessed on 18 Dec 2024) employs various omics technologies, including antibody imaging, mass spectrometry proteomics, transcriptomics, systems biology, and single-cell transcriptomics, to map all proteins in human cells, tissues, and organs. This study used the HPA database to analyze and localize UBE2S protein expression in SKCM cancer and adjacent normal tissues, as well as to examine UBE2S expression in normal skin single-cell subpopulations and various cell lines.
Subcellular localization was assessed using the HPA standard methodology. Briefly, cells were fixed in 4% formaldehyde, permeabilized with Triton X-100, and incubated with primary antibodies against UBE2S (either HPA-generated or commercially sourced). These were co-applied with organelle-specific markers: anti-γ-tubulin for microtubules and anti-calreticulin for the endoplasmic reticulum (ER). Following primary antibody incubation, nuclei were counterstained with diamidino-2-phenylindole (DAPI). Species-specific secondary antibodies conjugated to fluorophores were then used for detection: Alexa Fluor 488 (green) for UBE2S, Alexa Fluor 555 (red) for microtubules, and Alexa Fluor 647 (yellow) for the ER. High-resolution multichannel images were acquired using a confocal microscope with a 63× objective.
Sangerbox database
The Sangerbox (26) (http://vip.sangerbox.com/, accessed on 18 Dec 2024) data analysis platform supports differential analysis and offers various correlation analyses, pathway enrichment analyses, weighted correlation network analyses, and other common tools. It integrates data from GEO, TCGA, International Cancer Genome Consortium (ICGC), and other databases, enabling bulk data processing, thus reducing data acquisition difficulty and enhancing bioinformatics analysis efficiency. This study used Sangerbox to analyze UBE2S expression differences between SKCM and normal skin tissues, aiming to explore the association between UBE2S expression levels and patient OS and disease-specific survival (DSS).
CancerSEA database
The CancerSEA database (27) (http://biocc.hrbmu.edu.cn/CancerSEA/home.jsp, accessed on 18 Dec 2024) decodes different functional states of cancer cells at single-cell resolution and explores their functional heterogeneity. This study used CancerSEA to investigate UBE2S gene expression in 14 functional states at the single-cell level in SKCM, including tumor cell stemness, invasion, metastasis, proliferation, epithelial-mesenchymal transition, angiogenesis, apoptosis, cell cycle, differentiation, DNA damage, DNA repair, hypoxia, inflammation, and quiescence.
Statistical analysis
Statistical analysis was conducted following the guidelines provided by each online database. Differences between the high-expression and low-expression groups of UBE2S were compared using the Wilcoxon rank-sum test. Correlations were evaluated with Spearman’s method. Survival rates for both groups were analyzed using the Kaplan-Meier method. Statistical significance was defined as a P value of less than 0.05 or 0.01.
Results
UBE2S expression is markedly elevated in SKCM
Analysis using the Sangerbox database showed that UBE2S was significantly overexpressed in cancerous tissues compared to adjacent non-cancerous tissues across various cancers, including diffuse large B-cell lymphoma (DLCA), acute myeloid leukemia (LAML), brain lower grade glioma (LGG), lung squamous cell carcinoma (LUSC), rectum adenocarcinoma (READ), cervical squamous cell carcinoma (CESC), pancreatic adenocarcinoma (PAAD), kidney chromophobe (KICH), lung adenocarcinoma (LUAD), thymoma (THYM), uterine carcinosarcoma (UCS), and SKCM, with statistically significant differences (P<0.05, Figure 1A). This finding was further supported by validation through GEPIA2, which showed that UBE2S was also expressed at higher levels in cancerous tissues from 461 SKCM patients compared to adjacent non-cancerous tissues, with statistically significant differences (P<0.05, Figure 1B). Similarly, the DiSignAtlas database revealed significantly elevated UBE2S expression in SKCM cancer tissues across the GSE101685 and GSE6764 datasets, with statistically significant differences (P<0.05, Figure 1C,1D). These results consistently demonstrated that UBE2S was markedly overexpressed in SKCM cancer tissues compared to adjacent non-cancerous tissues.
Increased expression of UBE2S is strongly associated with a poor prognosis in SKCM
Analysis of the GEPIA2 database categorized SKCM patients into high-expression (n=229) and low-expression (n=229) groups based on median UBE2S levels. Patients with high UBE2S expression had significantly worse OS (P=0.02, Figure 2A) and DFS (P=0.02, Figure 2B) compared to those with low expression. Similarly, the Sangerbox database revealed that the OS for the high-expression group (n=222) was significantly lower than that for the low-expression group (n=222, P=0.01, Figure 2C), and DSS was also poorer in the high-expression group (n=219) compared to the low-expression group (n=219, P=0.02, Figure 2D). The Ualcan database, using UBE2S expression quartiles, found that the OS for the high-expression group (n=115) was significantly worse than for the low/moderate-expression group (n=344, P=0.02, Figure 2E). The TISIDB database further supported these findings, showing poorer prognosis for high-expression patients (P=0.003, Figure 2F). Collectively, these results from multiple databases consistently highlight that high UBE2S expression is a significant prognostic marker for SKCM patients.
UBE2S is significantly elevated in the cancerous tissues of SKCM patients
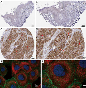
According to the HPA database, immunohistochemistry showed that UBE2S protein levels were notably elevated in SKCM cancer tissues compared to adjacent non-cancerous tissues, which was consistent with mRNA expression data. UBE2S was primarily localized to the cell membrane (Figure 3A,3B). This localization was further confirmed by multiplex immunofluorescence, which also demonstrated that UBE2S was concentrated at the cell membrane, supporting the immunohistochemistry findings (Figure 3C).
UBE2S is widely expressed in the individual cells of normal skin
Analysis of the HPA database revealed that UBE2S was widely expressed in various normal skin cell types, including fibroblasts, T cells, endothelial cells, Langerhans cells, smooth muscle cells, melanocytes, B cells, granulocytes, basal keratinocytes, and macrophages (Figure 4A,4B). Among different cell lines, UBE2S expression was ranked 7th in the human epidermoid carcinoma cell line A-431 and 12th in the SKCM cell line SK-MEL-30 (Figure 4C).
UBE2S is broadly expressed in individual cells within SKCM
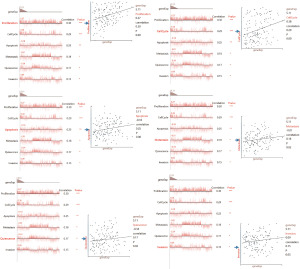
UBE2S was widely expressed across various subpopulations of normal skin cells, and its expression in SKCM cell subpopulations had been thoroughly investigated. Analysis of the CellTracer database, using the GSE139249 dataset, demonstrated that UBE2S was present in a range of cell types, including B cells, CD4 T cells, CD8 T cells, dendritic cells, myofibroblasts, monocyte macrophages, and NK cells (Figure 5A). During differentiation, cells followed distinct pseudo-temporal trajectories. In the GSE139249 data, these cells were categorized into three states, with UBE2S being predominantly distributed in state 3 (Figure 5B). Further examination of UBE2S expression in relation to cell functional states revealed a significant association with several cellular processes: dormancy (R=0.278), invasion (R=0.262), hypoxia (R=0.242), DNA damage (R=0.187), stemness (R=0.171), metastasis (R=0.145), and epithelial-mesenchymal transition (R=0.121) (Figure 5C). Additional analysis using the CancerSEA database confirms that high UBE2S expression was positively correlated with cell proliferation (R=0.30, P≤0.001), cell cycle progression (R=0.29, P≤0.001), apoptosis (R=0.25, P≤0.01), metastasis (R=0.18, P=0.02), quiescence (R=0.17, P=0.02), and invasion (R=0.15, P=0.047) (Figure 6).
UBE2S is strongly linked to immune infiltration within the SKCM TME
Analysis using the TISIDB database revealed a significant correlation between UBE2S expression and immune-related parameters in the SKCM TME. Specifically, UBE2S expression showed notable associations with various immune parameters in SKCM, including Tem CD8+ T cell abundance (R=−0.207), Tem CD4+ T cell abundance (R=−0.267), NK cell abundance (R=−0.169), monocyte abundance (R=0.209), Mem B cell abundance (R=−0.214), mast cell abundance (R=−0.105), Imm B cell abundance (R=−0.202), CD56bright cell abundance (R=0.215), CD56dim cell abundance (R=0.408), CCL18 expression (R=0.18), CCR4 expression (R=−0.316), CXCL1 expression (R=0.223), CCR2 expression (R=−0.268), CX3CR1 expression (R=−0.357), XCR1 expression (R=−0.321), CCL20 expression (R=0.198), CCR6 expression (R=−0.226), CD28 expression (R=−0.298), CD276 expression (R=0.203), CXCL17 expression (R=0.158), CXCL12 expression (R=−0.262), CCR8 expression (R=−0.273), CXCL3 expression (R=0.202), TNFSF15 expression (R=−0.285), ENTPD1 expression (R=−0.248), PVR expression (R=0.365), and TNFSF14 expression (R=0.287), all statistically significant (all P<0.001, Figure 7).
Discussion
Analysis of data from the TCGA and GTEx databases reveals that UBE2S is significantly overexpressed in a range of cancers, including DLCA, LAML, LGG, LUSC, READ, CESC, PAAD, KICH, LUAD, THYM, and UCS, confirming previous studies (15,17,28-30). Similarly, high UBE2S expression is observed in SKCM, with GEO data supporting these observations. According to the central dogma of molecular biology, gene expression results in protein function. Immunohistochemistry further verifies that UBE2S is highly expressed in cancer tissues, specifically localized to the cell membrane skeleton. Moreover, evidence from multiple databases shows a strong correlation between elevated UBE2S levels and poor prognosis in SKCM patients. This suggests that UBE2S may serve as a valuable biomarker for adverse outcomes and a potential target for therapeutic intervention.
The skin microenvironment utilizes barrier mechanisms, innate immunity, and adaptive immunity to provide continuous and context-specific protection. Examining single-cell subpopulations in normal skin offers valuable insights for disease research (31). Single-cell sequencing continues to be a crucial tool for investigating these subpopulations (32,33), thereby advancing precision medicine in dermatology. This study reveals that UBE2S is expressed at varying levels in both immune and non-immune skin cell subpopulations, underscoring its potential role in cell interactions and the maintenance of normal skin function.
The TME in SKCM comprises a diverse range of cells, including both tumor and non-tumor types, which are primarily categorized into stromal and immune cells (34). Stromal cells are crucial for tumor progression and invasion through their interactions with tumor cells (35,36). Therefore, understanding gene expression across different cell subpopulations within the TME and their interactions is essential for grasping these processes (37). Single-cell sequencing has identified widespread expression of UBE2S in various cell types within SKCM tumor tissues, including B cells, CD4 T cells, CD8 T cells, dendritic cells, myofibroblasts, monocyte macrophages, and NK cells. Data from the TISIDB database further reveal a significant correlation between UBE2S expression and immune-related parameters in the SKCM TME.
The interplay between SKCM tumor cell subpopulations and immune factors collectively influences the TME and is closely associated with treatment outcomes in SKCM patients (38). This study suggests that UBE2S plays a critical role in maintaining the TME and impacting prognosis in SKCM. Single-cell analysis shows that UBE2S expression is linked to various cellular states, including dormancy, invasion, hypoxia, DNA damage, stemness, proliferation, cell cycle, metastasis, and epithelial-mesenchymal transition. This association with poor prognosis aligns with findings that cellular functions such as differentiation and immunity also affect tumor outcomes (39,40). Thus, UBE2S is vital for maintaining cell subpopulations and functions within the TME of SKCM patients.
Conclusions
This study demonstrates that UBE2S is significantly overexpressed in SKCM and closely associated with adverse clinical outcomes, supporting its utility as an independent prognostic biomarker. Elevated UBE2S expression is observed not only in tumor tissues but also in association with diverse immune cell subsets and critical functional states within the TME, including proliferation, invasion, dormancy, epithelial-mesenchymal transition, and hypoxia adaptation. These results suggest that UBE2S may promote SKCM progression by facilitating immune evasion and reshaping the TME through the regulation of tumor-immune cell interactions. Such findings provide a molecular basis for understanding the mechanisms underlying SKCM development and offer new perspectives on the regulation of its immune landscape.
From a clinical standpoint, UBE2S shows promise as a biomarker to aid in risk stratification, prognostic assessment, and ongoing patient management, enabling more accurate identification of high-risk populations and the implementation of tailored therapeutic strategies. Its strong links to immune-related pathways and tumor biology also position UBE2S as a potential therapeutic target, particularly in the context of immunotherapy or combination treatment approaches designed to overcome resistance and improve therapeutic efficacy. Further investigation into the functional roles of UBE2S and the development of targeted inhibitors may facilitate the establishment of precision medicine strategies, enhancing diagnostic accuracy, treatment outcomes, and long-term disease control in SKCM.
Acknowledgments
None.
Footnote
Reporting Checklist: The authors have completed the REMARK reporting checklist. Available at https://tcr.amegroups.com/article/view/10.21037/tcr-2025-620/rc
Peer Review File: Available at https://tcr.amegroups.com/article/view/10.21037/tcr-2025-620/prf
Funding: This work was supported by
Conflicts of Interest: All authors have completed the ICMJE uniform disclosure form (available at https://tcr.amegroups.com/article/view/10.21037/tcr-2025-620/coif). The authors have no conflicts of interest to declare.
Ethical Statement: The authors are accountable for all aspects of the work in ensuring that questions related to the accuracy or integrity of any part of the work are appropriately investigated and resolved. The study was conducted in accordance with the Declaration of Helsinki and its subsequent amendments.
Open Access Statement: This is an Open Access article distributed in accordance with the Creative Commons Attribution-NonCommercial-NoDerivs 4.0 International License (CC BY-NC-ND 4.0), which permits the non-commercial replication and distribution of the article with the strict proviso that no changes or edits are made and the original work is properly cited (including links to both the formal publication through the relevant DOI and the license). See: https://creativecommons.org/licenses/by-nc-nd/4.0/.
References
- Tasdogan A, Sullivan RJ, Katalinic A, et al. Cutaneous melanoma. Nat Rev Dis Primers 2025;11:23. [Crossref] [PubMed]
- Centeno PP, Pavet V, Marais R. The journey from melanocytes to melanoma. Nat Rev Cancer 2023;23:372-90. [Crossref] [PubMed]
- Tirosh I, Izar B, Prakadan SM, et al. Dissecting the multicellular ecosystem of metastatic melanoma by single-cell RNA-seq. Science 2016;352:189-96. [Crossref] [PubMed]
- Borlongan MC, Saha D, Wang H. Tumor Microenvironment: A Niche for Cancer Stem Cell Immunotherapy. Stem Cell Rev Rep 2024;20:3-24. [Crossref] [PubMed]
- Peng C, Xu Y, Wu J, et al. TME-Related Biomimetic Strategies Against Cancer. Int J Nanomedicine 2024;19:109-35. [Crossref] [PubMed]
- Huang Y, Fan H, Ti H. Tumor microenvironment reprogramming by nanomedicine to enhance the effect of tumor immunotherapy. Asian J Pharm Sci 2024;19:100902. [Crossref] [PubMed]
- Leonard-Murali S, Bhaskarla C, Yadav GS, et al. Uveal melanoma immunogenomics predict immunotherapy resistance and susceptibility. Nat Commun 2024;15:2863. [Crossref] [PubMed]
- Smit KN, Boers R, Vaarwater J, et al. Genome-wide aberrant methylation in primary metastatic UM and their matched metastases. Sci Rep 2022;12:42. [Crossref] [PubMed]
- Liu J, Zhang C, Xu D, et al. The ubiquitin ligase TRIM21 regulates mutant p53 accumulation and gain of function in cancer. J Clin Invest 2023;133:e164354. [Crossref] [PubMed]
- Spano D, Catara G. Targeting the Ubiquitin-Proteasome System and Recent Advances in Cancer Therapy. Cells 2023;13:29. [Crossref] [PubMed]
- Ma J, Guo W, Li C. Ubiquitination in melanoma pathogenesis and treatment. Cancer Med 2017;6:1362-77. [Crossref] [PubMed]
- Wei CY, Zhu MX, Yang YW, et al. Downregulation of RNF128 activates Wnt/β-catenin signaling to induce cellular EMT and stemness via CD44 and CTTN ubiquitination in melanoma. J Hematol Oncol 2019;12:21. [Crossref] [PubMed]
- Kuser-Abali G, Zhang Y, Szeto P, et al. UHRF1/UBE2L6/UBR4-mediated ubiquitination regulates EZH2 abundance and thereby melanocytic differentiation phenotypes in melanoma. Oncogene 2023;42:1360-73. [Crossref] [PubMed]
- Houles T, Boucher J, Lavoie G, et al. The CDK12 inhibitor SR-4835 functions as a molecular glue that promotes cyclin K degradation in melanoma. Cell Death Discov 2023;9:459. [Crossref] [PubMed]
- Zhang M, Wang J, Guo Y, et al. Activation of PI3K/AKT/mTOR signaling axis by UBE2S inhibits autophagy leading to cisplatin resistance in ovarian cancer. J Ovarian Res 2023;16:240. [Crossref] [PubMed]
- Yue H, Wang J, Hou S, et al. As a potential predictor of pan-cancer, UBE2S is related to tumor-associated macrophage infiltration. Future Oncol 2023;19:1973-90. [Crossref] [PubMed]
- Gong D, Rao X, Min Z, et al. UBE2S targets RPL26 for ubiquitination and degradation to promote non-small cell lung cancer progression via regulating c-Myc. Am J Cancer Res 2023;13:3705-20.
- Bao H, Luo Y, Ding G, et al. A Pan-Cancer Analysis of UBE2S in Tumorigenesis, Prognosis, Pathway, Immune Infiltration and Evasion, and Therapy Response from an Immune-Oncology Perspective. J Oncol 2022;2022:3982539. [Crossref] [PubMed]
- Welsh KA, Bolhuis DL, Nederstigt AE, et al. Functional conservation and divergence of the helix-turn-helix motif of E2 ubiquitin-conjugating enzymes. EMBO J 2022;41:e108823. [Crossref] [PubMed]
- Tang Z, Kang B, Li C, et al. GEPIA2: an enhanced web server for large-scale expression profiling and interactive analysis. Nucleic Acids Res 2019;47:W556-60. [Crossref] [PubMed]
- Chandrashekar DS, Karthikeyan SK, Korla PK, et al. UALCAN: An update to the integrated cancer data analysis platform. Neoplasia 2022;25:18-27. [Crossref] [PubMed]
- Ru B, Wong CN, Tong Y, et al. TISIDB: an integrated repository portal for tumor-immune system interactions. Bioinformatics 2019;35:4200-2. [Crossref] [PubMed]
- Guo Q, Wang P, Liu Q, et al. CellTracer: a comprehensive database to dissect the causative multilevel interplay contributing to cell development trajectories. Nucleic Acids Res 2023;51:D861-9. [Crossref] [PubMed]
- Zhai Z, Lin Z, Meng X, et al. DiSignAtlas: an atlas of human and mouse disease signatures based on bulk and single-cell transcriptomics. Nucleic Acids Res 2024;52:D1236-45. [Crossref] [PubMed]
- Digre A, Lindskog C. The human protein atlas - integrated omics for single cell mapping of the human proteome. Protein Sci 2023;32:e4562. [Crossref] [PubMed]
- Shen W, Song Z, Zhong X, et al. Sangerbox: a comprehensive, interaction-friendly clinical bioinformatics analysis platform iMeta 2022;1:e36. [Crossref] [PubMed]
- Yuan H, Yan M, Zhang G, et al. CancerSEA: a cancer single-cell state atlas. Nucleic Acids Res 2019;47:D900-8. [Crossref] [PubMed]
- Qiu L, Wang Y, Li Z, et al. The landscape of UBE2S in hepatocellular carcinoma: Prognostic significance, immuno-oncology feature and drug response. Genes Dis 2023;10:363-5. [Crossref] [PubMed]
- Xiao K, Peng S, Lu J, et al. UBE2S interacting with TRIM21 mediates the K11-linked ubiquitination of LPP to promote the lymphatic metastasis of bladder cancer. Cell Death Dis 2023;14:408. [Crossref] [PubMed]
- Zhao R, Yu Z, Mao X, et al. Knockout of UBE2S inhibits the proliferation of gastric cancer cells and induces apoptosis by FAS-mediated death receptor pathway. Exp Cell Res 2022;419:113293. [Crossref] [PubMed]
- Dainichi T, Iwata M. Inflammatory loops in the epithelial-immune microenvironment of the skin and skin appendages in chronic inflammatory diseases. Front Immunol 2023;14:1274270. [Crossref] [PubMed]
- Yan Y, Yan G, Cao Z, et al. Single cell transcriptome profiling reveals cutaneous immune microenvironment remodeling by photodynamic therapy in photoaged skin. Front Immunol 2023;14:1183709. [Crossref] [PubMed]
- Li J, Smalley I, Chen Z, et al. Single cell characterization of the cellular landscape of acral melanoma identifies novel targets for immunotherapy. Clin Cancer Res 2022;28:2131-46. [Crossref] [PubMed]
- Ziogas DC, Theocharopoulos C, Koutouratsas T, et al. Mechanisms of resistance to immune checkpoint inhibitors in melanoma: What we have to overcome? Cancer Treat Rev 2023;113:102499. [Crossref] [PubMed]
- Elhanani O, Ben-Uri R, Keren L. Spatial profiling technologies illuminate the tumor microenvironment. Cancer Cell 2023;41:404-20. [Crossref] [PubMed]
- de Visser KE, Joyce JA. The evolving tumor microenvironment: From cancer initiation to metastatic outgrowth. Cancer Cell 2023;41:374-403. [Crossref] [PubMed]
- Elewaut A, Estivill G, Bayerl F, et al. Cancer cells impair monocyte-mediated T cell stimulation to evade immunity. Nature 2025;637:716-25. [Crossref] [PubMed]
- Pozniak J, Roda N, Landeloos E, et al. Cytotoxic NK Cells Impede Response to Checkpoint Immunotherapy in Melanoma with an Immune-Excluded Phenotype. Cancer Discov 2025;15:1819-34. [Crossref] [PubMed]
- Liu J, Chang HW, Huang ZM, et al. Single-cell RNA sequencing of psoriatic skin identifies pathogenic Tc17 cell subsets and reveals distinctions between CD8(+) T cells in autoimmunity and cancer. J Allergy Clin Immunol 2021;147:2370-80. [Crossref] [PubMed]
- Sun Q, Wang N, Poelchen J, et al. Neural crest-associated gene FOXD1 induces an immunosuppressive microenvironment by regulating myeloid-derived suppressor cells in melanoma. J Immunother Cancer 2025;13:e010352. [Crossref] [PubMed]

