A case report of idiopathic pulmonary fibrosis concurrent with EGFR 19 deletion lung adenocarcinoma
Highlight box
Key findings
• We present a rare case of idiopathic pulmonary fibrosis (IPF) complicated by lung adenocarcinoma harboring an epidermal growth factor receptor (EGFR) exon 19 deletion mutation. Even if EGFR-tyrosine kinase inhibitor (TKI) is proved to induce pulmonary fibrosis, the application of TKI in our case achieved partial remission without severe exacerbation of pulmonary fibrosis.
What is known and what is new?
• IPF is a known risk factor for lung cancer, and EGFR mutations are commonly found in lung adenocarcinoma, particularly in non-smokers or light smokers. EGFR-TKIs are standard therapy for EGFR-mutant non-small cell lung cancer (NSCLC), but their safety in patients with pre-existing IPF remains poorly defined, with some evidence suggesting a possible association with pulmonary toxicity.
• Our case provides a concrete clinical example of EGFR-NSCLC arising in a patient with IPF, and discussed the therapeutic dilemma posed by the potential fibrogenic effect of EGFR-TKIs. It adds to the limited clinical literature on the management of this dual diagnosis and emphasizes the need for molecular profiling even in patients with concurrent interstitial lung disease.
What is the implication, and what should change now?
• Our case reinforces that tumor molecular testing should be routinely performed in NSCLC patients with coexisting IPF, as actionable mutations may influence treatment strategies. Clinicians should be vigilant about the potential pulmonary toxicity of EGFR-TKIs in this population and consider closer monitoring, multidisciplinary evaluation, and possibly alternative or modified treatment approaches.
Introduction
Lung cancer is a common complication of fibrotic interstitial lung disease (fILD), especially in patients with idiopathic pulmonary fibrosis (IPF). Lung cancer in these patients generally has a low positive rate of epidermal growth factor receptor (EGFR) mutations and a poor prognosis, and treatment with EGFR tyrosine kinase inhibitors (TKIs) carries the potential risk of drug-associated interstitial lung disease (ILD) and acute exacerbation of IPF. This article reports a case of a patient with a history of smoking, IPF, and EGFR exon 19 deletion mutation-positive non-small cell lung cancer (NSCLC), with combined treatment with pirfenidone and icotinib. We present this article in accordance with the CARE reporting checklist (available at https://tcr.amegroups.com/article/view/10.21037/tcr-2025-aw-2162/rc).
Case presentation
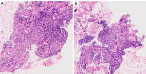
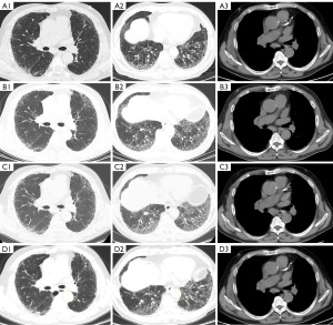
In April 2018, a 56-year-old male came to our hospital with the main complaint of recurrent cough and dyspnea on exertion, with no immunological features [including antinuclear antibody (ANA) profile, anti-neutrophil cytoplasmic antibody (ANCA) profile and etc.] but 40-year smoking history. Physical examination revealed bibasilar crackles. The patient’s immunological indicators, including ANA and ANCA, were all negative. Pulmonary function tests indicated reduced lung capacity [total lung capacity (TLC) at 69.6% of predicted value] and decreased diffusion function [diffusing capacity of the lung for carbon monoxide (DLCO) at 62.4% of predicted value]. As shown in Figure 1, high-resolution chest computed tomography (HRCT) (Figure 1, A1-A3) showed subpleural reticular opacities predominantly in the lower lobes, with some honeycombing changes, consistent with UIP. Pathological examination of a transbronchial lung biopsy from the right lower lobe revealed chronic inflammation and fibrous tissue proliferation. The patient was diagnosed as fILD, with a high possibility of IPF. Due to personal concerns, the patient refused antifibrotic medication. After 4 weeks of oral prednisone, there was no significant improvement in symptoms, and the patient discontinued the medication. However, pulmonary function tests indicated a further decline in DLCO (50.5% of predicted value), and the patient agreed to start pirfenidone, the only available anti-fibrotic choice at that time, but discontinued it after 1 month due to poor tolerance to gastrointestinal adverse events (especially nausea, abdominal distension and anorexia). In January 2021, a chest CT revealed a suspicious small nodule in the posterior basal segment of the right lower lobe and exacerbated fibrosis (Figure 1, B1-B3), with stable clinical symptoms. In January 2022, further laboratory tests revealed that the vital tumor markers [including carcinoembryonic antigen (CEA), neuron-specific enolase (NSE) and Cyfra211] were all within normal range, and chest HRCT showed progression of pulmonary fibrosis predominantly near the pleura in both lower lungs, with a new small nodule in the right lower lung and some enlargement of the hilar and mediastinal regions (Figure 1, C1-C3). Further endobronchial ultrasound-guided transbronchial needle aspiration (EBUS-TBNA) of the 7th group of lymph nodes revealed clusters of atypical cells in the inflammatory exudate, consistent with malignancy, shown in Figure 2. Immunohistochemistry results showed CK7 (+), TTF-1 (+), ALK-D5F3 (−), P40 (−), ALK-D5F3 (NC) (−). Tumor molecular pathology testing indicated EGFR 19del (+) 5.2%, diagnosing NSCLC stage IIIB (EGFR exon 19 deletion). After a thorough discussion with clinicians of lung cancer and interstitial lung disease, the patient agreed to continue treatment with pirfenidone 600 mg tid and icotinib 125 mg tid on March 3, 2022. In this time, we adopted a dose titration strategy for pirfenidone, under which the patients achieved satisfactory tolerance. The chest CT in June showed that the right lung nodule size reduced from 1.0 to 0.6 cm, with no significant change in lymph node size or degree of pulmonary fibrosis (Figure 1, D1-D3), and the treatment was evaluated as partial remission (PR), defined as at least a 30% decrease in the sum of diameters of target lesions, taking as reference the baseline sum diameters. On December 4, 2022, the patient was tested positive for coronavirus disease 2019 (COVID-19) and passed away due to severe COVID-19 pneumonia and respiratory failure on Dec 22, 2022. The chest HRCT confirmed COVID-19 pneumonia was shown in Figure S1. The timeline of the patient’s history is shown in Table 1.
Table 1
| Time | Event |
|---|---|
| April 2018 | Initial diagnosis of fILD based on chest HRCT |
| December 2018 | Initial treatment of pirfenidone |
| January 2019 | Discontinuation of pirfenidone due to gastrointestinal adverse events |
| January 2021 | Chest CT revealed a suspicious small nodule and exacerbated fibrosis |
| January 2022 | Chest HRCT showed progression of pulmonary fibrosis, with a new small nodule in the right lower lung and some enlargement of the hilar and mediastinal regions |
| February 2022 | EBUS-TBNA of the 7th group of lymph nodes revealed clusters of atypical cells in the inflammatory exudate, consistent with malignancy |
| March 2022 | Initiation of pirfenidone 600 mg tid and icotinib 125 mg tid |
| April 2022 | Chest CT showed that the right lung nodule size reduced from 1.0 to 0.6 cm |
| October 2022 | Treatment to NSCLC was evaluated as PR |
| December 2022 | The patient was tested positive for COVID-19 and passed away due to severe COVID-19 pneumonia and respiratory failure |
CT, computed tomography; COVID-19, coronavirus disease 2019; EBUS-TBNA, endobronchial ultrasound-guided transbronchial needle aspiration; fILD, fibrotic interstitial lung disease; HRCT, high-resolution chest computed tomography; NSCLC, non-small cell lung cancer; PR, partial remission.
All procedures performed in this study were in accordance with the ethical standards of the institutional research committee and with the Declaration of Helsinki and its subsequent amendments. Written informed consent was obtained from the patient’s family for the publication of this case report and accompanying images. A copy of the written consent is available for review by the editorial office of this journal.
Discussion
FILD refers to a group of ILD with at least 10% fibrotic components confirmed by pathology or imaging (1), among which, IPF often presents as usual interstitial pneumonia (UIP) on imaging and pathology. In this case, the patient had no immunological features, no history of occupational dust exposure, and typical UIP HRCT patterns, suggesting a diagnosis of fILD, most likely IPF.
The incidence of lung cancer in ILD patients is significantly higher than that in the general population, with the probability of lung cancer in IPF patients ranging from 2.7% to 48% (2). The pathological types of lung cancer vary among different studies, while adenocarcinoma is more common in our center (3). Tumor molecular testing is valuable for the medical treatment of advanced lung cancer (4), but ILD is an independent negative indicator for EGFR mutation tumors, and the mutation rate of EGFR in IPF patients with lung cancer is even lower (5). The tumor molecular testing in this patient indicated an EGFR exon 19 deletion, which is relatively rare in clinical practice.
In the treatment of IPF with lung cancer, an individualized treatment plan should be developed based on the stage of lung cancer and tumor molecular typing: for patients with early-stage lung cancer, controllable IPF, and good overall health, surgical resection under antifibrotic drugs can be considered (6); for patients with advanced lung cancer but non-acute exacerbation of IPF, drug treatment is a generally choice. Given the low probability of gene mutations in IPF patients with NSCLC (5), the high risk of drug-associated ILD, poor prognosis, and the risk of inducing acute exacerbation of IPF (7,8), TKI drugs are not commonly used in IPF patients with NSCLC. As for immune checkpoint inhibitor (ICI)-based antitumor immunotherapy, its potential harm of ICI-related pneumonia to IPF patients relatively prevents its application in IPF patients with lung cancer (9). Therefore, chemotherapy is generally chosen for these patients.
EGFR is closely associated with ILD. Numerous studies have reported the upregulation of EGFR and its ligands in fibrotic lung tissue, confirming that EGFR pathway hyperactivation drives pulmonary fibrosis (10). Conversely, accumulating clinical evidence demonstrates that EGFR-TKIs also induce ILD, suggesting that pathway inhibition is equally detrimental to lung tissue. TKI-induced ILD is typically acute or subacute, with an onset of approximately one month. The incidence varies by generation; notably, osimertinib exhibits a significantly higher rate of drug-induced ILD compared to first-generation agents (11). Key risk factors include pre-existing lung disease, lung injury or inflammation, poor performance status, smoking history, and ethnicity (12). Nevertheless, given the therapeutic effect of EGFR-TKIs on lung cancer patients with EGFR mutations, studies have shown that re-administration of EGFR-TKIs in patients with EGFR-TKI-related ILD can benefit approximately 80% of patients, with only 16.7% experiencing grade 3 or higher EGFR-TKI-related ILD (13). In this case, the patient had a lung cancer with EGFR exon 19 deletion, and IPF was in a non-acute exacerbation, moderate stage. After fully explaining the benefits and risks of TKI drugs to the patient’s family, the patient and family agreed to receive antitumor TKI drug treatment. Multiple international IPF guidelines have advised advantages of antifibrotic drug treatment (14-17), it was recommended that the patient should continue regular antifibrotic drug treatment. There were no acute exacerbations occurred during subsequent TKI treatment. Unfortunately, the patient passed away due to severe COVID-19 pneumonia and rapid respiratory failure following a COVID-19 infection at the end of 2022, a course we attribute to their underlying IPF. Our previous studies have also demonstrated that patients with IPF are highly susceptible to developing severe pneumonia during the COVID-19 pandemic (18).
The quality of life and survival rate of IPF patients have improved thanks to the development of antifibrotic drugs (19). Complications such as lung cancer and acute exacerbations are important factors affecting prognosis. Although the mutation rate of EGFR is not high in IPF patients with NSCLC, standardized tumor molecular typing can help identify a small subset of IPF patients with lung cancer who have EGFR mutations.
Conclusions
Under the protection of a comprehensive treatment strategy based on antifibrotic drugs, targeted antitumor TKI drug treatment for EGFR mutations may provide survival benefits.
Acknowledgments
None.
Footnote
Reporting Checklist: The authors have completed the CARE reporting checklist. Available at https://tcr.amegroups.com/article/view/10.21037/tcr-2025-aw-2162/rc
Peer Review File: Available at https://tcr.amegroups.com/article/view/10.21037/tcr-2025-aw-2162/prf
Funding: This study was supported by
Conflicts of Interest: All authors have completed the ICMJE uniform disclosure form (available at https://tcr.amegroups.com/article/view/10.21037/tcr-2025-aw-2162/coif). The authors have no conflicts of interest to declare.
Ethical Statement: The authors are accountable for all aspects of the work in ensuring that questions related to the accuracy or integrity of any part of the work are appropriately investigated and resolved. All procedures performed in this study were in accordance with the ethical standards of the institutional research committee and with the Declaration of Helsinki and its subsequent amendments. Written informed consent was obtained from the patient’s family for the publication of this case report and accompanying images. A copy of the written consent is available for review by the editorial office of this journal.
Open Access Statement: This is an Open Access article distributed in accordance with the Creative Commons Attribution-NonCommercial-NoDerivs 4.0 International License (CC BY-NC-ND 4.0), which permits the non-commercial replication and distribution of the article with the strict proviso that no changes or edits are made and the original work is properly cited (including links to both the formal publication through the relevant DOI and the license). See: https://creativecommons.org/licenses/by-nc-nd/4.0/.
References
- Wijsenbeek M, Cottin V. Spectrum of Fibrotic Lung Diseases. N Engl J Med 2020;383:958-68. [Crossref] [PubMed]
- Ballester B, Milara J, Cortijo J. Idiopathic Pulmonary Fibrosis and Lung Cancer: Mechanisms and Molecular Targets. Int J Mol Sci 2019;20:593. [Crossref] [PubMed]
- Zhao J, Wu Y, Chen MJ, et al. Characterization of driver mutations in Chinese non-small cell lung cancer patients using a novel targeted sequencing panel. J Thorac Dis 2022;14:4669-84. [Crossref] [PubMed]
- Dai HP, Ma F, Ren YH, et al. Expert Consensus on the Diagnosis and Treatment of Anticancer Drug-Induced Interstitial Lung Disease. Curr Med Sci 2023;43:1-12. [Crossref] [PubMed]
- Kanaji N, Tadokoro A, Kita N, et al. Impact of idiopathic pulmonary fibrosis on advanced non-small cell lung cancer survival. J Cancer Res Clin Oncol 2016;142:1855-65. [Crossref] [PubMed]
- Sakairi Y, Yoshino I, Iwata T, et al. A randomized controlled phase III trial protocol: perioperative pirfenidone therapy in patients with non-small cell lung cancer combined with idiopathic pulmonary fibrosis to confirm the preventative effect against postoperative acute exacerbation: the PIII-PEOPLE study (NEJ034). J Thorac Dis 2023;15:1486-93. [Crossref] [PubMed]
- Park K, Tan EH, O’Byrne K, et al. Afatinib versus gefitinib as first-line treatment of patients with EGFR mutation-positive non-small-cell lung cancer (LUX-Lung 7): a phase 2B, open-label, randomised controlled trial. Lancet Oncol 2016;17:577-89. [Crossref] [PubMed]
- Soria JC, Ohe Y, Vansteenkiste J, et al. Osimertinib in Untreated EGFR-Mutated Advanced Non-Small-Cell Lung Cancer. N Engl J Med 2018;378:113-25. [Crossref] [PubMed]
- Yamaguchi T, Shimizu J, Hasegawa T, et al. Pre-existing pulmonary fibrosis is a risk factor for anti-PD-1-related pneumonitis in patients with non-small cell lung cancer: A retrospective analysis. Lung Cancer 2018;125:212-7. [Crossref] [PubMed]
- Grimminger F, Günther A, Vancheri C. The role of tyrosine kinases in the pathogenesis of idiopathic pulmonary fibrosis. Eur Respir J 2015;45:1426-33. [Crossref] [PubMed]
- Li C, Wei R, Jones-Hall YL, et al. Epidermal growth factor receptor (EGFR) pathway genes and interstitial lung disease: an association study. Sci Rep 2014;4:4893. [Crossref] [PubMed]
- Miao X, Liu Y, Li X, et al. Risk of interstitial lung disease in non-small cell lung cancer treated with EGFR-TKI: a real-world pharmacovigilance study. Front Pharmacol 2025;16:1652750. [Crossref] [PubMed]
- Kashizaki F, Chen H, Miyasaka A, et al. Safety of Readministration of EGFR-TKI After Onset of Interstitial Lung Disease in Advanced EGFR-Mutated NSCLC: A Systematic Review and Meta-Analysis. Clin Lung Cancer 2024;25:e52-e57.e2.
- Bando M, Homma S, Date H, et al. Japanese guidelines for the treatment of idiopathic pulmonary fibrosis 2023:Revised edition. Respir Investig 2024;62:402-18.
- Raghu G, Remy-Jardin M, Richeldi L, et al. Idiopathic Pulmonary Fibrosis (an Update) and Progressive Pulmonary Fibrosis in Adults: An Official ATS/ERS/JRS/ALAT Clinical Practice Guideline. Am J Respir Crit Care Med 2022;205:e18-47. [Crossref] [PubMed]
- Mackintosh JA, Keir G, Troy LK, et al. Treatment of idiopathic pulmonary fibrosis and progressive pulmonary fibrosis: A position statement from the Thoracic Society of Australia and New Zealand 2023 revision. Respirology 2024;29:105-35. [Crossref] [PubMed]
- Cottin V, Bonniaud P, Cadranel J, et al. French practical guidelines for the diagnosis and management of idiopathic pulmonary fibrosis - 2021 update. Full-length version. Respir Med Res 2023;83:100948. [Crossref] [PubMed]
- Shao C, Shi Y, Chen R, et al. Risk factors associated with COVID-19 pneumonia in Chinese patients with pre-existing interstitial lung disease during the SARS-CoV-2 pandemic. J Med Virol 2023;95:e29098. [Crossref] [PubMed]
- Suissa S, Suissa K. Antifibrotics and Reduced Mortality in Idiopathic Pulmonary Fibrosis: Immortal Time Bias. Am J Respir Crit Care Med 2023;207:105-9. [Crossref] [PubMed]

