B-cell lymphoma initially presenting as isolated pleural effusion: a challenging diagnostic case report
Highlight box
Key findings
• Cytomorphological examination of pleural effusion is a rapid and convenient method that enables prompt differentiation between benign and malignant effusions, provides important diagnostic information for initial screening, and helps avoid missed diagnoses.
What is known, and what is new?
• The incidence of pleural effusion in patients with lymphoma ranges from 10% to 30%, and mostly occurs in the intermediate to advanced stages of the disease, primarily due to the direct invasion or metastasis of lymphoma cells to the pleura.
• Lymphoma presenting with pleural effusion as the initial symptom is relatively rare. Due to the absence of typical clinical manifestations of lymphoma, it is often overlooked, which can easily lead to clinical misdiagnosis or underdiagnosis. Due to its simplicity of operation, rapid reporting, and accurate results, conventional cytomorphological examination can quickly determine the nature of effusions. It has clear diagnostic value for malignant serous cavity tumors such as lymphoma and can be widely applied in clinical practice.
What is the implication, and what should change now?
• Routine cytomorphological examination of pleural effusion can provide rapid and accurate results, making it a key method in clinical practice. For patients presenting with pleural effusion as the initial symptom, pleural fluid should be aspirated for routine cytomorphological examination when there are no contraindications to quickly determine the nature of the effusion.
Introduction
Lymphoma is a highly heterogeneous group of diseases that can affect various tissues and organs throughout the body. Clinically, it often presents as painless lymphadenopathy, fever, and hepatosplenomegaly (1), accompanied by an absolute increase in blood lymphocytes. Approximately 20–30% of lymphoma cases are accompanied by pleural effusion (2), but it is relatively rare for lymphoma to initially manifest as pleural effusion, and it is easily missed in the early stage (3).
Routine examination and cytomorphological studies of pleural effusion can provide rapid and accurate insights into the benign or malignant nature of effusions, offering quick diagnostic results for patients and aiding in subsequent treatment planning (4-6). This article presents a case in which pleural effusion was the initial symptom, and lymphoma cells were identified through routine cytomorphological examination of the effusion, ultimately leading to a diagnosis of B-cell lymphoma. This case highlights the significant clinical value of routine cytomorphological examination of bodily fluids in the diagnosis of malignant serous cavity effusions. We present this article in accordance with the CARE reporting checklist (available at https://tcr.amegroups.com/article/view/10.21037/tcr-2026-1-0125/rc).
Case presentation
A 76-year-old female patient was admitted to the Changhai Hospital on December 29, 2021, with a diagnosis of “chronic heart failure” due to “recurrent chest tightness and shortness of breath, along with edema of both lower extremities for 3 years, which had worsened with the development of pleural effusion over the past 3 months”. The patient exhibited pulmonary exudation in both lungs, left-sided pleural effusion accompanied by partial atelectasis of the left lower lung, multiple calcified foci in the left lung, and a small pericardial effusion. The patient had a past medical history significant for chronic heart failure for 3 years, well-controlled hypertension, and type 2 diabetes mellitus. She had no prior history of malignancy, autoimmune disease, or tuberculosis exposure.
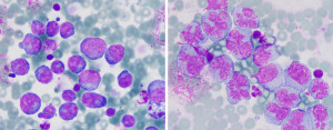
Upon admission, a physical examination revealed a body temperature of 36.4 ℃, a pulse rate of 82 beats per minute, a respiratory rate of 19 breaths per minute, and blood pressure of 130/68 mmHg. White blood cell count 6.35×109/L [normal range: (3.5–9.5)×109/L], hemoglobin 101 g/L (normal: 115–150 g/L),Platelet count 283×109/L [normal: (125–350)×109/L], differential count: neutrophils 74.9%, lymphocytes 10.9%, monocytes 10.7%, eosinophils 3.0%, basophils 0.5%. Chest computed tomography (CT) indicated left lung atelectasis, with a possible large pleural effusion, while no significant abnormalities were observed in the right lung. Due to the left lung atelectasis and large pleural effusion, pleural fluid was aspirated for routine cytomorphological examination. The routine cytomorphological analysis of the pleural effusion revealed that the fluid was bloody and turbid, with a positive protein qualitative test (++++) and a total cell count of 65,790×106/L. The nucleated cell count was 12,444×106/L, with a nucleated cell differential showing 6% neutrophils and 14% lymphocytes, and 80% lymphoma cells (Figure 1).
As Figure 1 shows, the pleural effusion smear revealed a large number of lymphoma cells, which varied in size and exhibited round or oval shapes. The cytoplasm was relatively abundant and basophilic, exhibiting blue staining. The nuclei were large and could be round, oval, irregular, or even twisted and folded, displaying a petaloid appearance. The nuclear chromatin was fine in texture.
Routine cytomorphological examination of the pleural effusion identified lymphoma cells, and the results were reported to the attending clinician. Further tests, including flow cytometry immunophenotyping of the pleural fluid, were conducted. The flow cytometry immunophenotyping revealed an aberrant B-cell population comprising approximately 29.8% of total cells, characterized by CD45++ expression with high side scatter (SSC). These cells expressed CD19, CD20, CD38, CD200, and HLA-DR, with weak expression of Kappa light chain and FMC7. They showed negative expression for Lambda light chain, CD10, CD5, CD11c, CD103, CD123, CD22, and CD23. The immunophenotypic pattern, including light chain restriction (Kappa positivity with Lambda negativity) and the aberrant marker expression profile, supports the diagnosis of B-cell lymphoma. The pleural fluid analysis showed a lactate dehydrogenase level of 1,976 U/L, glucose level of 2.1 mmol/L, total protein of 37.9 g/L, chloride level of 100 mmol/L, and adenosine deaminase (ADA) level of 229.0 U/L.
To identify the primary lesion, a whole-body positron emission tomography-computed tomography (PET-CT) scan was conducted. The PET-CT results (Figure 2) indicated multiple lymph nodes with slightly increased density and elevated fluorodeoxyglucose uptake located in the suprasternal, paratracheal, postcaval, main pulmonary artery window, subcarinal, bilateral hilar, posterior mediastinal adjacent to the descending aorta, and right cardiophrenic angle regions. Additionally, there were small chronic inflammatory lymph nodes in both inguinal regions, with no other significant abnormalities noted. Although the elevated ADA level (229.0 U/L), high lymphocyte count (14%), and exudative fluid characteristics (pleural fluid/serum protein ratio >0.5) are laboratory findings that may suggest tuberculosis pleurisy in certain clinical contexts, the presence of numerous lymphoma cells in the pleural effusion, confirmed by both cytomorphological examination and flow cytometry immunophenotyping, indicates that these findings should be interpreted within the specific pathological condition of lymphoma. In lymphoma patients with pleural effusion, elevated ADA levels may reflect increased lymphocyte activity and immune responses rather than tuberculosis infection. Additionally, clinical manifestations such as fever, night sweats, or weight loss were not prominent in this patient. Therefore, the final diagnosis was based on comprehensive evaluation including pleural fluid cytology, flow cytometry, pleural biopsy pathology, and PET-CT imaging findings, rather than relying on ADA levels alone. This case underscores the importance of integrating multiple diagnostic modalities to avoid misdiagnosis when pleural effusion presents with atypical laboratory findings.
The subsequent bone marrow aspiration revealed no significant abnormalities in B lymphocytes. Given the pleural effusion as the initial and main manifestation and the mediastinal lymph node involvement demonstrated on PET-CT, these findings were consistent with B-cell lymphoma, initially with pleural effusion as the primary manifestation. Following a definitive diagnosis, the patient was transferred to the Hematology Department for chemotherapy, during which the disease remained stable on follow-up (Figure 2).
All the procedures performed in the case were in accordance with the ethical standards of the institutional and/or national research committee(s), as well as the Helsinki Declaration and its subsequent amendments. Written informed consent was obtained from the patient for publication of this case report and accompanying images. A copy of the written consent is available for review by the editorial office of this journal.
Discussion
In this case, an elderly female patient presented with chest tightness, with massive pleural effusion as the primary clinical manifestation. Subsequent examinations were conducted, but only routine cytomorphological examination and flow cytometry immunophenotyping of the pleural fluid supported a diagnosis of B-cell lymphoma, while the other tests revealed no significant abnormalities.
Pleural effusion occurs when systemic or local pathological changes disrupt the dynamic balance between the production and absorption of pleural fluid (7). Based on the etiology, pleural effusions are classified as benign or malignant. Among the causes of malignant pleural effusion, lung cancer, breast cancer, and lymphoma rank as the top 3 (8). The incidence of pleural effusion in lymphoma patients ranges from 20–30%, typically occurring in the mid to late stages of the disease due to the direct invasion or metastasis of lymphoma cells to the pleura (9). The occurrence of pleural effusion as the initial manifestation of lymphoma is rare, and to date, its specific incidence has not been reported in the literature. The mechanisms by which pleural effusion may occur in lymphoma patients include: (I) metastasis of malignant tumors to the pleura or lungs, direct pleural infiltration by lymphoma cells disrupting vascular integrity (10,11); (II) impaired lymphatic or venous return due to mediastinal lymph node enlargement or thoracic duct obstruction (12,13); (III) immune system dysfunction and decreased leukocyte function, which predispose patients to pulmonary infections resulting in effusion, release of pro-inflammatory cytokines [interleukin-6 (IL-6), vascular endothelial growth factor (VEGF), tumor necrosis factor-α (TNF-α)] enhancing vascular permeability; and (IV) pleural damage during radiotherapy for lymphoma, leading to pleural effusion.
In this case, the patient’s initial and main clinical presentation was pleural effusion. Such lymphomas are rare in clinical practice, and when they present with pleural effusion as the initial manifestation, they are often misdiagnosed or missed, leading to delays in treatment. In the diagnosis of such diseases, cytological examination of effusion sediment is complex and time-consuming (5). Additionally, some lymphomas lack solid masses or space-occupying lesions, and are thus difficult to detect by imaging (14). Cytomorphological examination of pleural effusion is particularly important, as it is convenient to perform and can quickly provide diagnostic direction for patients. However, morphological observation requires experienced professionals. Thus, departments need to employ and train specialists. Artificial intelligence–assisted morphological recognition can also be employed to aid in diagnosis.
Patients with lymphoma presenting primarily with pleural effusion may lack typical clinical manifestations of lymphoma, which can lead to underestimation by physicians, and result in clinical misdiagnosis or missed diagnosis. Routine cytomorphological examination, as a simple, rapid, and accurate method, holds significant value in the early diagnosis of malignant pleural effusion. Thus, due to its simplicity and accuracy, routine cytomorphological examination of body fluids has significant diagnostic value for malignant tumors of the serous cavities and can be widely applied in clinical practice.
Conclusions
Many lymphoma patients present with atypical clinical manifestations, leading to frequent missed and misdiagnoses. For patients with pleural effusion, examination of the effusion should be performed promptly if conditions permit to clarify its nature, which aids in clinical diagnosis. In this study, cytomorphology of the pleural effusion played a pivotal role in initial diagnosis and screening, suggesting that cytomorphological examination possesses significant diagnostic value in determining the nature of pleural effusion. However, when fluid cytology suggests malignant disease, histopathological examination through pleural biopsy should be performed to confirm the diagnosis and provide comprehensive pathological information for treatment planning, as tissue examination offers superior diagnostic certainty through direct visualization of cellular morphology, tissue architecture, and invasion patterns.
Acknowledgments
None.
Footnote
Reporting Checklist: The authors have completed the CARE reporting checklist. Available at https://tcr.amegroups.com/article/view/10.21037/tcr-2026-1-0125/rc
Peer Review File: Available at https://tcr.amegroups.com/article/view/10.21037/tcr-2026-1-0125/prf
Funding: This research was financially supported by
Conflicts of Interest: All authors have completed the ICMJE uniform disclosure form (available at https://tcr.amegroups.com/article/view/10.21037/tcr-2026-1-0125/coif). All authors report that this research was financially supported by the Hebei Provincial Administration of Traditional Chinese Medicine Research Project (grant No. 2022053). The authors have no other conflicts of interest to declare.
Ethical Statement: The authors are accountable for all aspects of the work in ensuring that questions related to the accuracy or integrity of any part of the work are appropriately investigated and resolved. All the procedures performed in the case were in accordance with the ethical standards of the institutional and/or national research committee(s), as well as the Helsinki Declaration and its subsequent amendments. Written informed consent was obtained from the patient for publication of this case report and accompanying images. A copy of the written consent is available for review by the editorial office of this journal.
Open Access Statement: This is an Open Access article distributed in accordance with the Creative Commons Attribution-NonCommercial-NoDerivs 4.0 International License (CC BY-NC-ND 4.0), which permits the non-commercial replication and distribution of the article with the strict proviso that no changes or edits are made and the original work is properly cited (including links to both the formal publication through the relevant DOI and the license). See: https://creativecommons.org/licenses/by-nc-nd/4.0/.
References
- Yao D, Zhang L, Wu PL, et al. Clinical and misdiagnosed analysis of primary pulmonary lymphoma: a retrospective study. BMC Cancer 2018;18:281. [Crossref] [PubMed]
- Mathew T, George L, Easow B, et al. TCL-134: Demographics, Disparities, and Clinical Outcomes of Pleural Effusions in Non-Hodgkin Lymphoma: A Retrospective Analysis of the 2022 National Inpatient Sample. Clinical Lymphoma, Myeloma and Leukemia 2025;25:S859. [Crossref]
- Tang FX, Gao Q. A rare cause of pleural effusion in children: T-cell lymphoblastic lymphoma. Asian J Surg 2024;47:2754-6. [Crossref] [PubMed]
- Patel T, Patel P, Mehta S, et al. The value of cytology in diagnosis of serous effusions in malignant lymphomas: An experience of a tertiary care center. Diagn Cytopathol 2019;47:776-82. [Crossref] [PubMed]
- Ong KC, Indumathi V, Poh WT, et al. The diagnostic yield of pleural fluid cytology in malignant pleural effusions. Singapore Med J 2000;41:19-23. [PubMed]
- Plummer RM, Kelting S, Madan R, et al. Triaging of pleural effusion cytology specimens for ancillary flow cytometric analysis. J Am Soc Cytopathol 2020;9:478-84. [Crossref] [PubMed]
- Wang JHM, Song J. A case of t-cell lymphoblastic lymphoma characterized by pleural effusion combined with pericardial effusion. Ann Biol Clin (Paris) 2024;82:351-5. [Crossref] [PubMed]
- Li JJX, Cheung W, Ng JKM, et al. Application of algorithmic cytomorphological assessment and immunocytochemistry with the international system for reporting serous fluid cytopathology on pericardial fluid cytology. J Clin Pathol 2024;77:766-71. [Crossref] [PubMed]
- Liao Q, Yu Q, Yu C, et al. Pulmonary mucosa-associated lymphoid tissue lymphoma: insights from a 15-year study at a single institution involving 14 clinical cases. World J Surg Oncol 2024;22:219. [Crossref] [PubMed]
- Madej E, Sovani V, Fernando M, et al. Breast implant associated anaplastic large-cell lymphoma: a latent relapse as peritoneal and pleural effusion. Histopathology 2025;86:1168-71. [Crossref] [PubMed]
- Monappa V, Reddy SM, Kudva R. Hematolymphoid neoplasms in effusion cytology. Cytojournal 2018;15:15. [Crossref] [PubMed]
- Wijaya SY, Koesoemoprodjo W. Indonesian female with bilateral chylothorax and mediastinal non-Hodgkin lymphoma: A case report. Int J Surg Case Rep 2023;102:107827. [Crossref] [PubMed]
- Jr V D, Arshad AM. A Case of Chylothorax in Non-Hodgkin Lymphoma. Cureus 2024;16:e71957. [PubMed]
- Pascual LP, Crespo FJD, López BBA, et al. Large B-cell lymphoma associated with fluid overload: two new case reports with molecular insights. Virchows Arch 2026;488:449-54. [Crossref] [PubMed]
(English Language Editor: L. Huleatt)

